Gündem
Spor
Ekonomi
Dünya
Politika
Anasayfa
Asayiş
Asayiş
Van’da İş Yeri Yangını
Antalya’da İş Merkezinde Korkutan Yangın (1)
Satılığa Çıkarılan Müstakil Ev Alev Alev Yandı
Sorgun’da Karla Kaplı Yolda Savrulan Tır Kameralara Yansıdı
Kendilerini Jandarma Olarak Tanıtan Dolandırıcılar Gözaltına Alındı
Ataşehir’de Silahlı İki Şahıs Dehşet Saçtı: 1 Yaralı
Silivri’de Buzlanma Kazası: 1 Ölü
Evde Çıkan Yangın Köyde Korkuya Neden Oldu
Yabancı Uyruklu Sürücü Tem’de Direksiyon Başında Sara Nöbeti Geçirdi
Rize’de Son 1 Yıl İçinde Yaşanan Kazalar Mobese Kameralarına Böyle Yansıdı
Van’da 4 Kilo 244 Gram Metamfetamin Ele Geçirildi
Sınava Yetişmeye Çalışan Öğrenci Otomobilin Altında Kaldı
Tabancasıyla Oynayan Kişi Kazara Kendini Vurdu
Başkent’te 2 Katlı Evde Yangın Çıktı: 4 Yaralı
Beyoğlu’nda İki Grup Arasındaki Silahlı Çatışma: 3 Yaralı
Mardin’de Silah Kaçakçısı Suçüstü Yakalandı
Kuyumcu İle Soyguncunun Arbedesi Kamerada
Arnavutköy’de Markete Eyp’li Saldırı
Jandarma Ekipleri Taşların Arasına Gizlenmiş Silah Ele Geçirdi
Mardin’de 8 Bin 470 Paket Kaçak Sigara Ele Geçirildi
80 Yaşındaki Adam Evinde Ölü Bulundu
Jandarma Botaş Petrol Boru Hattından Ham Petrol Çalın Şahısları Suçüstü Yakaladı
İzmir’de Tır İle Minibüs Çarpıştı: 1 Ölü
Karaman’daki Cinayetle İlgili 2 Kişi Tutuklandı
Arkadaşının Elinde Patlayan Av Tüfeğiyle Hayatını Kaybetti
Genç Kız Çatıya Çıktı, Çevrede Toplananlar Adeta Film Gibi İzledi
Siirt’te Sobadan Zehirlenen 6 Kişi Hastanelik Oldu
Tem Otoyolu’nda 6 Aracın Karıştığı Zincirleme Kaza: 10 Yaralı
Suriye’nin Keftnoran Köyündeki Saldırılarda Ölü Sayısı 8’e Yükseldi
Kepengi İnik Sarraftan Gelen Kadın Sesleri Polisi Harekete Geçirdi
İzmir’de Servis Aracı Devrildi: 8 Yaralı
Bağdat’ta Hükümet Karşıtı Protestolarda 1 Kişi Öldü, 7 Kişi Yaralandı
Biga’da Korkutan Yangın
Emekli Polis Evinde Ölü Bulundu
Esad Rejimi Halep’i Vurdu: 4 Ölü
Kaçak Kazı Yapmak İsteyen 3 Kişi Yakalandı
Tacizciyi Fark Eden Küçük Kızı Zekası Kurtardı
Erzincan’da Kuyumcuyu Soymayan Çalışan Şüpheli Etkisiz Hale Getirildi
Annesini Bıçaklayan Genç Tutuklandı, İfadeleri İse Kan Dondurdu
Yakalanan Hırsızlık Şüphelisinin 5 Suçtan Arandığı Ortaya Çıktı
Tartıştığı Arkadaşını Bıçaklayarak Öldürdü
Kaygan Yolda Devrilen Kamyonet Ters Döndü: 1 Yaralı
Elazığ’da Metruk Ev Yangını
Otomobilin Kornasından Uyuşturucu Çıktı
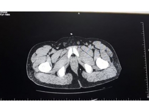
İki Yabancı Uyruklu Yolcunun Mide Ve Bağırsaklarında Uyuşturucu Taşıdıkları Ortaya Çıktı
Halk Pazarı Esnafından Güvelik Kamerası Talebi
Kargo Kamyonu İle Tanker Çarpıştı: 1 Yaralı
Evde Uyuşturucu İle Yakalandılar
900
901
902
903
904
905
906