Dört Yıldır Çektiği Ağrılarından Bir Günde Kurtuldu
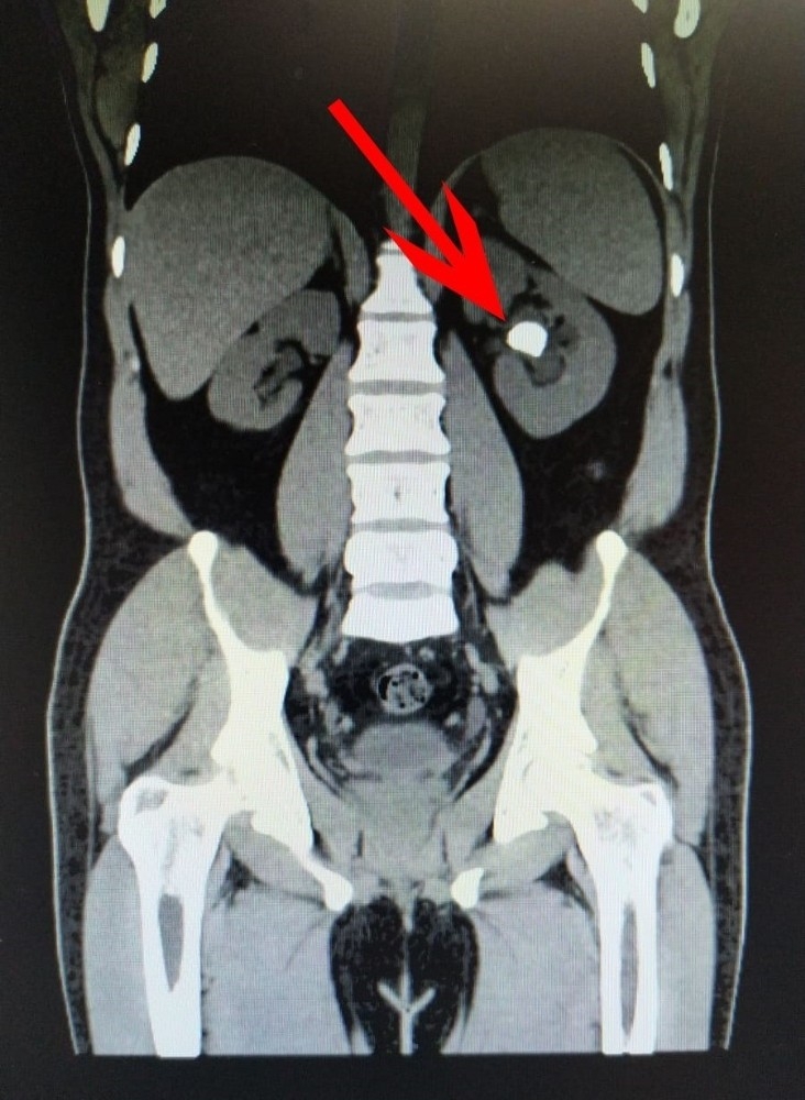
Manisa'da yaşayan 28 yaşındaki Hanifi Tekin, yaklaşık 4 yıldır çektiği böbrek taşı ağrılarından Manisa Şehir Hastanesi Üroloji Kliniğinde yapılan kapalı taş (Perkütan) ameliyatı ile kurtuldu. Genç hastanın sol böbreğinden 22 milimetre taş çıkarıldı.
Manisa Şehir Hastanesinde çalışan Hanifi Tekin, yaklaşık 4 yıldan bu yana çektiği böbrek ağrıları sebebiyle görev yaptığı hastanenin Üroloji Kliniğine başvurdu. Üroloji Uzmanı Dr. Volkan Tatlı tarafından tetkikleri yapılan Tekin'in sol böbreğinde 22 milimetre taş olduğu tespit edildi. Genç yaşı ve çalışan bir hasta olması sebebiyle ESWL (taş kırma) işlemi uygun görülmeyen hastaya kapalı taş ameliyatı planlandı. Ameliyata alınan Tekin'in sırtından bir tüp ile böbreğine bir kanal açılarak, taşları kırılıp boşaltma işlemi gerçekleştirildi. Başarıyla tamamlanan ameliyat sonrası Hanifi Tekin, sağlığına kavuştu. Başarılı ameliyatı yapan Üroloji Uzmanı Dr. Volkan Tatlı, "Hastamız Hanifi Tekin 28 yaşında ve hastane çalışanımız aynı zamanda. Böbrek ağrısıyla kliniğimize başvurdu. Yapılan tetkikler sonunda sol böbreğinde 22 mm taş olduğu görüldü. Genç ve çalışan hasta olması sebebiyle ESWL işlemi uygun görülmedi. Kendisine Perkütan taş ameliyatı planlandı. Ameliyatını iki kez ertelemek zorunda kaldık. İlk defasında enfeksiyondan dolayı, ikincisinde tansiyon yüksekliğinden dolayı iptal oldu. Tansiyon yüksekliği nedeniyle Kardiyoloji konsültasyonu istendi. Değerlendirilerek tansiyon ilacı başlandı. Tansiyonları normale dönünce ameliyatını gerçekleştirdik. Yaptığımız ameliyat hastanın sırtından bir tüp ile böbreğe bir kanal açtık. Taşları kırıp boşaltma işlemini gerçekleştirdik. Bugün ameliyattan sonra birinci günü sondasını çıkardık. Yarında sırtında bulunan dreni aldıktan sonra genel durumu ile değerlendirilip post-op üçüncü günü hastamız taburcu edilecektir" dedi.
"4 yıldır çektiğim bir ağrıydı"
Doktoruna başarılı ameliyatı sebebiyle teşekkür eden Hanifi Tekin, ağrılarının geçmesi sebebiyle çok rahatladığını söyledi. Tekin, "Şükürler olsun kurtuldum, çok memnunum. 4 yıldır çektiğim bir ağrıydı. Şu anda çok rahatım. Ben kendim hastane çalışanıyım. Çalışan olarak da hasta olarak da hastanedeki sistemin çok iyi olduğunu görebiliyorum. Temizlik, yemekhane hizmetleri sorunsuz bir şekilde yerine getiriliyor. Görevli hemşireler çok ilgililer. Manisa Şehir Hastanesi çalışanlarına çok teşekkür ederim" ifadelerini kullandı.


Türkçe karakter kullanılmayan ve büyük harflerle yazılmış yorumlar onaylanmamaktadır.