İranlı Yolcuların Midesinden Eroin Çıktı

İranlı Yolcuların Midesinden Eroin Çıktı
İzmir Adnan Menderes Havalimanı'ndan yurda giriş yapan 5 İranlı yolcunun midesinde 3 kilo 385 gram eroin tespit edildi.

İzmir Adnan Menderes Havalimanı'ndan yurda giriş yapan 5 İranlı yolcunun midesinde 3 kilo 385 gram eroin tespit edildi.

İzmir Emniyet Müdürlüğü Narkotik Suçlarla Mücadele Şubesi ekipleri, İran'dan Türkiye'ye uyuşturucu getirileceği bilgisi üzerine geniş çaplı araştırma başlattı. Şüphelilerin hava yolunu kullanacağı yönündeki istihbari bilgi üzerine İzmir polisi, İran'dan gelen yolcuları takibe aldı. Yaklaşık 3 ay boyunca havalimanında görev yapan narkotik polisi, yurt dışından gelen yolcuları adeta adım adım izledi.

Geçtiğimiz hafta, İzmir Adnan Menderes Havalimanı'na gelen 5 İranlı yolcunun, şüphe üzerine kimlik bilgileri sorgulandı. Üst ve bagaj aramaları da yapılan yolcularda herhangi bir bulguya ulaşılamayan narkotik ekipleri, yolculardan birinin şüpheli tavırlar sergilemesi üzerine 5 İranlıyı röntgen çektirmek üzere hastaneye götürdü.

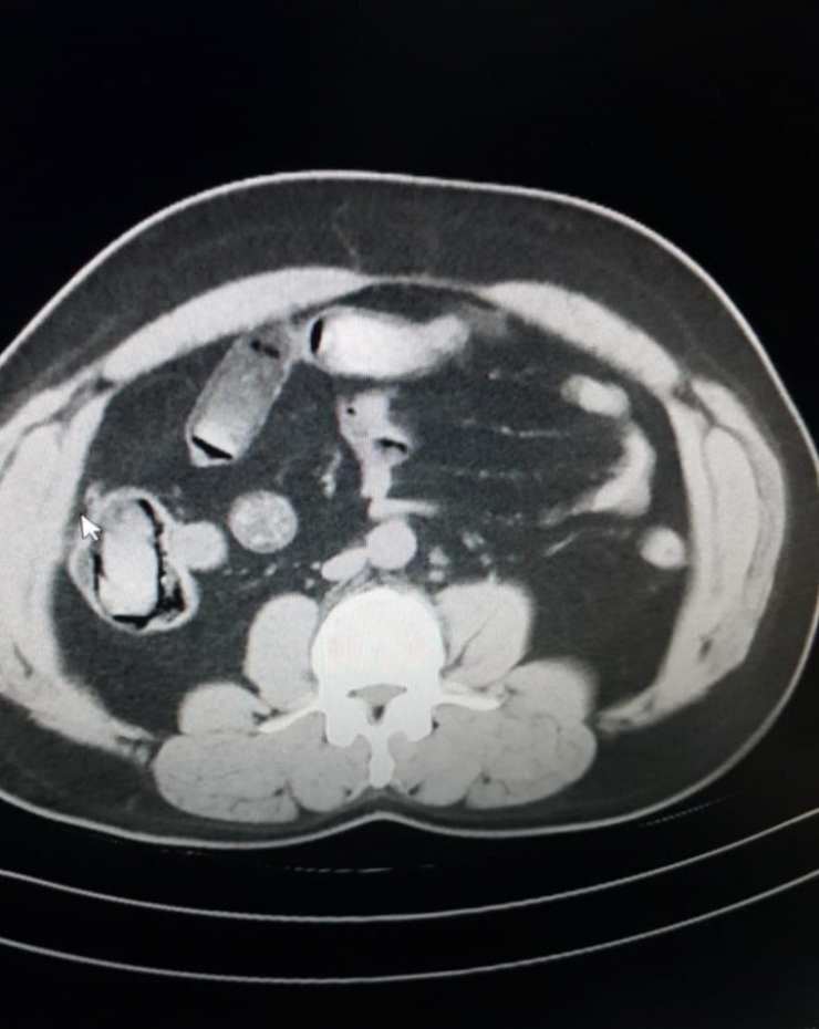
İran vatandaşı 5 şahsın üzerinde yapılan incelemelerde, midelerinde kapsül olduğu anlaşıldı. Kapsülleri istifra yoluyla çıkartılan İranlılardan toplam 298 kapsülde 3 kilo 385 gram eroin ele geçirildi.

Gözaltına alınan şüpheliler, suçlarını itiraf ederken, zanlılar işlemlerinin ardından sevk edildiği mahkemece tutuklandı. Narkotik Suçlarla Mücadele Şube Müdürlüğü ekipleri, zanlıların Türkiye'deki bağlantılarını çözmek için çalışma başlattı.

İranlı Yolcuların Midesinden Eroin Çıktı

İranlı Yolcuların Midesinden Eroin Çıktı

HABERE YORUM KAT
UYARI: Küfür, hakaret, rencide edici cümleler veya imalar, inançlara saldırı içeren, imla kuralları ile yazılmamış,
Türkçe karakter kullanılmayan ve büyük harflerle yazılmış yorumlar onaylanmamaktadır.